Early Treatment Orthodontics
Give Your Child the Gift of a Beautiful, Healthy Smile!
Here at Dixie Dental Centre in Mississauga, Dr. Tenny Leung and Dr. Norman Lui, offers early orthodontic care for children. By treating your child’s problems early, you save money and may prevent the need for more extensive future treatment. We can get your child’s smile off to a healthy start by treating your child early! Parents want the best for their children; straight teeth, properly sized jaws, straight profiles and beautiful smiles.
75% of 12-year-olds need orthodontic treatment, yet 90% of a child’s face has already developed by that age! Here at Dixie Dental Centre in Mississauga, we guide your child’s facial development early with functional appliances. Up to 80% of your child’s treatment can be corrected before the adult teeth are present!
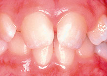
Many children who need orthodontic treatment due to a bad bite have underdeveloped lower jaws. We utilize functional appliances which can reposition the lower jaw forward, improve your child’s profile and correct the bite problem in as little as 7 to 9 months!
Why are functional appliances so important?
Dr. Tenny Leung and Dr. Norman Lui utilize functional appliances which can help correct and can often prevent: Bite problems, underdeveloped jaws, narrow arches, crowded teeth, deep overbites, jaw joint problems, airway problems and thumb-sucking habits.
Many children with narrow jaws, deep overbites or receding lower jaws have unhealthy jaw joints which can cause:
- Headaches and neck pain
- Dizziness and fainting
- Earaches or ringing in the ears
- Clicking and locking jaws, or difficulty opening jaw
Deep overbites and receding lower jaws may cause earaches, stuffiness or ringing in the ears. If infection has been ruled out, functional appliances can eliminate these symptoms effectively.
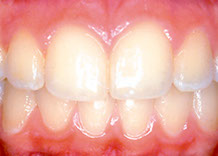
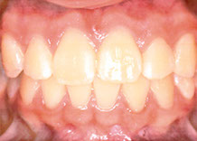
Mouth breathing can lead to orthodontic problems as well as other problems such as poor sleep habits. This can leave children prone to daytime fatigue, an inability to concentrate in school and headaches. Mouth breathing can cause narrow arches and unattractive smiles. By using functional appliances while children are actively growing, Dr. Tenny Leung and Dr. Norman Lui and their team here in Mississauga can help them achieve a broad, beautiful smile and prevent many issues.
Due to the fact that younger children between the ages of 8 and 11 are often much more cooperative than children between the ages of 12 to 14, the use of functional appliances becomes very smart! As well, early phase one treatment with functional appliances will probably mean that your child will need to wear fixed braces on their adult teeth for less time.
Crowded teeth are caused by narrow arches. Developing the arches at an early age may prevent or eliminate the crowding of permanent teeth and often eliminates the need to remove any adult teeth. Narrow jaws can confine the tongue and interfere with normal speech. Functional appliances help ensure proper growth and greatly enhance your child’s ability to speak normally.
Dr. Tenny Leung and Dr. Norman Lui and their Dixie Dental Centre team’s early use of functional appliances can prevent or eliminate the need for the removal of adult teeth and lengthy use of braces, speech difficulties and crowding.
Early phase one treatment with functional appliances, (ages 5 to 12), should be initiated for habits such as tongue thrusting and thumb sucking, a constricted airway due to swollen adenoids or tonsils, mouth breathing or snoring problems, a bad bite or narrow or underdeveloped jaws. We suggest that it is critical to correct any functional or jaw problems as soon as they are diagnosed. During phase two, (ages 12 to 14), your child’s teeth are straightened with braces, which usually take about 1½ to 2 years.
A functional appliance may provide your child with improved appearance and speech. Dr. Tenny Leung and Dr. Norman Lui and their Mississauga team of professionals here at Dixie Dental Centre take great pride in helping children to have the healthiest most beautiful smile possible. If you have any questions, please feel free to speak with one of our Dixie Dental Centre team members.



